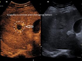
Spitalul Clinic Judeţean de Urgenţă (SCJU) Craiova a anunțat, aseară, o premieră în unitatea medicală. Este vorba despre prima ablaţie cu microunde a unei tumori hepatice. La doar o lună după intervenţie, investigaţiile imagistice au confirmat distrugerea completă a tumorii, conform precizărilor reprezentanților SCJU.
FOTO : facebook/scju Craiova
”Premieră medicală la SCJU Craiova: prima ablaţie cu microunde a unei tumori hepatice, realizată cu succes! Un pacient cu cancer hepatic a fost tratat printr-o procedură minim invazivă, fără operaţie deschisă, efectuată în Laboratorul de Endoscopie Intervenţională al Spitalului Clinic Judeţean de Urgenţă Craiova”, a anunțat Spitalul Clinic Județean de Urgență Craiova. Astfel, la doar o lună după intervenție, investigațiile imagistice au confirmat distrugerea completă a tumorii. Procedura a fost realizată de prof. univ. dr. Larisa Săndulescu, şefa Clinicii Medicale II, alături de o echipă complexă, formată din dr. Cezar Bețianu – radiolog intervenționist, dr. Andreea Stănculescu – medic anestezist, medicii rezidenți: dr. Cristiana Urhuț și dr. Aida Dănilă, asistenții medicali: Ionuț Troponete, Dana Necheș, Mihaela Călița, echipa tehnică Medtronic: Florin Stanca și Oana Arghiniei. ”Această reușită confirmă direcția modernă pe care Spitalul Clinic Județean de Urgență Craiova o urmează: medicină de înaltă performanță, minim invazivă și centrată pe pacient”, au mai menționat reprezentanții Spitalului Clinic Județean de Urgență Craiova.















